The 1st module for the 6 eng -3
Список вопросов теста
Вопрос 1
L.N. is a 49-year-old white woman with a history of type 2 diabetes, obesity, hypertension, and migraine headaches. The patient was diagnosed with type 2 diabetes 9 years ago when she presented with mild polyuria and polydipsia. One year ago, microalbuminuria was detected on an annual urine screen, with 1,943 mg/dl of microalbumin identified on a spot urine sample. L.N. comes into the office today for her usual follow-up visit for diabetes. Physical examination reveals an obese woman with a BP of 154/86 mmHg and a pulse of 78 bpm. ECG

Calculate The Sokolow-Lyon index and identify heart axis
Варианты ответов
- more than 35 and left axis deviation
- more than 25 and left axis deviation
- more than 35 and right axis deviation
- more than 25 normal heart axis
Вопрос 2
A 29-year-old male baker is referred to the Pulmonary and Allergic Diseases outpatient department with a history of bouts of breathlessness, recurrent respiratory infections and effort intolerance, due to breathlessness and chest tightness, occurring typically 10–15 min after completion of exercise. The first episode of shortness of breath occurred 8 years previously and since that time, it has become a frequent complaint. Respiratory symptoms wake him almost every night, impairing his life considerably. He has worked in the same bakery for the last 10 years and recently has noticed that contact with flour triggers breathlessness and wheezing, accompanied by watery rhinorrhea and bouts of sneezing. The patient reports occasional temporary improvement during summer time and feels that his condition is steadily deteriorating, with no apparent cause. He is otherwise well, does not take any medications, except for short cycles of oral antibiotics periodically for bronchitis and occasional oxymetazoline for relief of nasal symptoms. He used to smoke (20 cigarettes a day for 5 years) but gave this up 3 years previously. Basic spirometry demonstrates a forced expiratory volume in 1 second (FEV1) of 2.90 L/min (70% of predicted value), forced vital capacity (FVC) of 5.02 L/min (103% of predicted value) and FEV1/FVC of 59.86% (Fig. 1). At 15 min after inhalation of salbutamol (albuterol), the spirometry values are as follows: FEV1 3.78 L/min (30% increase from baseline), FVC 5.26 L/min (4% increase from baseline) and FEV1/FVC of 71, 87%.

COOSE THE COLOR OF THE LINE, WHICH INDICATES SPIROMETRY VALUES AFTER INHALATION OF SALBUTAMOL
Варианты ответов
- RED COLOR
- BLACK COLOR
- BOTH OF THEM
- NON OF THEM
Вопрос 3
CHOOSE CORRECT STATMENT FOR THE GIVEN IMAGE
Варианты ответов
- POSITIVE R WAVE IN I AND NEGETIVE S WAVE IN AVF INDICATE LEFT AXIS DEVIATION
- POSITIVE R WAVE IN I AND POSITIVE S WAVE IN AVF INDICATE LEFT AXIS DEVIATION
- POSITIVE R WAVE IN I AND NEGETIVE S WAVE IN AVF INDICATE RIHGT AXIS DEVIATION
- ALL MENTIONED ARE CORRECT
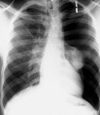
Вопрос 4
Earliest radiological sign of Pulmonary Venous Hypertension in Chest X-ray is:
Варианты ответов
- Cephalization of pulmonary vascularity
- Pleural effusion
- Kerley B lines
- Alveolar pulmonary edema
Вопрос 5
FIND DIFFERENCES BETWEEN GIVEN ECG AND ATRIAL FLUTTER

Варианты ответов
- R-R INTERVAL IS IRREGULAR
- LONG QT INTERVAL
- NORMAL P WAVE
- DURATION OF QRS COMPLEX IS MORE THAN 0.10 SEC
Вопрос 6
CHOOSE A FIGURE FROM FOLLOWINGS, WHERE GIVEN COLLAPSED LUNG

FIG 1

FIG 2
Варианты ответов
- FIG 1
- FIG 2
- ON BOTH


