Дифференцированный зачет по ИТПД, Вариант 2
Список вопросов теста
Вопрос 1
Связь, в результате чего все участники могут общаться друг с другом, организуется в рамках такой телемедицинской технологии – как…
Варианты ответов
- Телемедицинская консультация
- Телемониторинг
- Телемедицинское совещание
- Телемедицинская лекция
- Дистанционная медицинская помощь
Вопрос 2
Связь, при которой лектор преподаватель может обращаться ко всем участникам одновременно, организуется в рамках такой телемедицинской технологии – как…
Варианты ответов
- Телемедицинская консультация
- Телемониторинг
- Телемедицинское совещание
- Телемедицинская лекция
- Дистанционная медицинская помощь
Вопрос 3
Электронный медицинский архив –это …
Варианты ответов
- Запись, сделанная конкретным медицинским работником в отношении конкретного пациента, сохранённая на электронном носителе
- Информационная система, предназначенная для ведения, хранения на электронных носителях, поиска и выдачи по информационным запросам персональных медицинских записей
- Электронное хранилище, содержащее наборы данных и программ (классификаторы, справочники, списки пациентов и т.д.)
Вопрос 4
Электронная персональная медицинская запись – это …
Варианты ответов
- Запись, сделанная конкретным медицинским работником в отношении конкретного пациента, сохранённая на электронном носителе
- Информационная система, предназначенная для ведения, хранения на электронных носителях, поиска и выдачи по информационным запросам персональных медицинских записей
- Электронное хранилище, содержащее наборы данных и программ (классификаторы, справочники, списки пациентов и т.д.)
Вопрос 5
Электронная история болезни – это …
Варианты ответов
- Запись, сделанная конкретным медицинским работником в отношении конкретного пациента, сохранённая на электронном носителе
- Информационная система, предназначенная для ведения, хранения на электронных носителях, поиска и выдачи по информационным запросам персональных медицинских записей
- Электронное хранилище, содержащее наборы данных и программ (классификаторы, справочники, списки пациентов и т.д.)
Вопрос 6
Выберите наиболее полное определение медицинской информатики
Варианты ответов
- Предмет, изучаемый в медицинском учебном заведении
- Научная дисциплина, представляющая систему знаний об информационных процессах в медицине
- Раздел предмета «Информатика»
- Программное обеспечение, установленное на ПК сотрудников лечебного учреждения
Вопрос 7
Медицинская информатика является составной частью …
Варианты ответов
- Теоретической информатики
- Прикладной информатики
- Экономической информатики
- Управленческой информатики
Вопрос 8
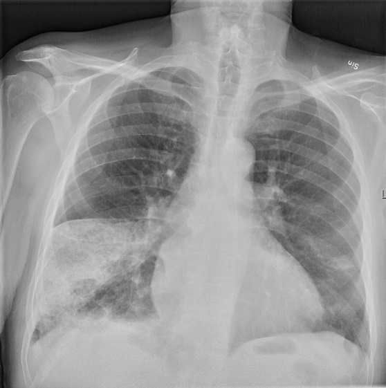
Результат, какого исследования показа на рисунке

Варианты ответов
- Рентгенография
- Компьютерная томография
- Энцефалограмма
- Ангиограмма
Вопрос 9
Объект изучения медицинской информатики:
Варианты ответов
- медицинская информация
- медицинские информационные технологии
- автоматизированные информационные системы
- глечебный процесс
Вопрос 10
Установите соответствие между данными и степенью актуальности:
1.
Результаты инструментальной диагностики
2.
Электронные и бумажные архивы текущей информации
3.
Сигналы от медицинских приборов
Варианты ответов
- Данные долгосрочного хранения
- Данные среднесрочной актуальности
- Данные немедленного применения


